Bọc răng sứ là gì?

Là phương pháp phục hình bằng vật liệu sứ giúp phục hồi chức năng và cải thiện thẩm mỹ cho răng, giúp răng của bạn có dáng răng đều, đẹp, màu sắc tự nhiên gần như răng thật. Bác sĩ sẽ tiến hành mài nhẹ răng thật bị hư để làm cùi răng, sau đó lắp mão răng sứ lên trên. Răng sứ thẩm mỹ là giải pháp tốt nhất để khắc phục tình trạng răng hư hại từ nhẹ đến nặng mà không mất quá nhiều thời gian, giúp cải thiện thẩm mỹ và khắc phục hình dáng, màu sắc như răng thật.

Khi nào bạn cần bọc răng sứ

Nụ cười không chỉ là biểu hiện của cảm xúc mà còn là dấu hiệu của sự tự tin. Tuy nhiên, một nụ cười có nhiều khiếm khuyết có thể khiến bạn cảm thấy không thoải mái khi giao tiếp, và từ đó làm mất đi những cơ hội kết nối, ảnh hưởng đến khả năng thành công trong cuộc sống, thậm chí còn có thể cản trở vận mệnh tài lộc theo quan niệm nhân tướng học trong văn hóa Phương Đông. Những vấn đề về răng miệng đã khiến bạn phải che giấu nụ cười của mình trong suốt thời gian dài. Tuy nhiên, với công nghệ bọc răng sứ tiên tiến và nhẹ nhàng tại Nha Khoa Huy Hoàng.

Thẩm mỹ cao – Tự nhiên như răng thật

Zirconia có khả năng chịu lực gấp nhiều lần so với răng thật, giúp bạn ăn nhai thoải mái mà không lo răng bị vỡ hay sứt mẻ. Đây là một trong những vật liệu bền nhất được sử dụng trong nha khoa hiện nay.

Độ cứng của răng sứ Zirconia so với răng thật

Răng sứ Zirconia có màu sắc trắng sáng, tự nhiên, không bị đục hay tối màu theo thời gian. Ngoài ra, vật liệu này cũng không gây kích ứng nướu, đảm bảo an toàn cho người sử dụng.

Độ cứng của răng sứ Zirconia so với răng thật

Zirconia có khả năng chịu lực gấp nhiều lần so với răng thật, giúp bạn ăn nhai thoải mái mà không lo răng bị vỡ hay sứt mẻ. Đây là một trong những vật liệu bền nhất được sử dụng trong nha khoa hiện nay.
Độ cứng của răng sứ Zirconia so với răng thật

Vì sao nhiều khách hàng lựa chọn làm răng sứ tại Nha Khoa Huy Hoàng?

Thẩm mỹ cao – Tự nhiên như răng thật, răng sứ toàn sứ có độ trong, độ bóng và độ phản quang giống men răng tự nhiên, tạo nụ cười trắng sáng nhưng không giả. Bền chắc – Ăn nhai khỏe: Được chế tác từ vật liệu cao cấp, răng sứ chịu lực gấp 3–5 lần răng thật, giúp ăn nhai thoải mái, không lo gãy vỡ. Phù hợp nhiều tình trạng răng: Răng sứ thẩm mỹ khắc phục hầu hết các vấn đề như: Răng xỉn màu, ố vàng. Răng thưa, kẽ hở. Răng khấp khểnh nhẹ. Răng gãy mẻ…  An toàn – Không gây kích ứng: Vật liệu toàn sứ lành tính, thích hợp với cả những khách hàng có mô nướu nhạy cảm. Độ bền cao: Tuổi thọ răng sứ tại Nha Khoa Huy Hoàng có thể đạt 10–20 năm nếu chăm sóc đúng cách.

Thẩm mỹ cao – Tự nhiên như răng thật

Quy trình làm răng sứ thẩm mỹ tại Nha Khoa Huy Hoàng

Quy trình bọc răng sứ theo tiêu chuẩn quốc tế, đảm bảo hiệu quả tối ưu về thẩm mỹ và khớp cắn với các bước sau:

 

Bước 1: Khám và chụp phim Xray, chụp hình, scan răng

 

Bước 2: Mài răng và lấy dấu răng

 

Bước 3: Chế tác và gắn răng sứ

 

Bước 4: Kiểm tra và mài chỉnh khớp cắn

Bước 1: Khám và chụp phim, scan răng

Bác sĩ sẽ đánh giá tình trạng răng hiện tại của bạn như: Tình trạng bệnh lý, màu sắc răng, khớp cắn để có kế hoạch điều trị phù hợp.

Khám, chụp phim, thu thập dữ lệu và lên kế hoạch điều trị

Bước 2: Mài cùi răng và lấy dấu răng

Bác sĩ sẽ đánh giá tình trạng răng hiện tại của bạn như: Tình trạng bệnh lý, màu sắc răng, khớp cắn để có kế hoạch điều trị phù hợp.

Mài cùi răng

Bước 3: Chế tác và gắn răng sứ

Bác sĩ sẽ đánh giá tình trạng răng hiện tại của bạn như: Tình trạng bệnh lý, màu sắc răng, khớp cắn để có kế hoạch điều trị phù hợp.

Khám, chụp phim, thu thập dữ lệu và lên kế hoạch điều trị

Bước 4: Kiểm tra và mài chỉnh khớp rắn

Bác sĩ sẽ đánh giá tình trạng răng hiện tại của bạn như: Tình trạng bệnh lý, màu sắc răng, khớp cắn để có kế hoạch điều trị phù hợp.

Mài chỉnh khớp cắn

Vì Sao Nên Bọc Răng Sứ Tại Nha Khoa HUY HOÀNG?

Bọc răng sứ thẩm mỹ tại Nha Khoa Huy Hoàng là một quy trình được Bộ Y tế xác nhận đạt tiêu chuẩn. Với chất liệu sứ cao cấp có khả năng chống khuẩn tốt, bác sĩ chuyên môn sẽ trực tiếp thực hiện. Nha Khoa Huy Hoàng sở hữu mọi yếu tố cần thiết để mang đến cho bạn dịch vụ bọc răng sứ an toàn và đẹp, giúp bạn đạt được hiệu quả thẩm mỹ như mong đợi. Sử dụng công nghệ tiên tiến nhất với răng toàn sứ cao cấp, cùng với máy móc hiện đại và tay nghề của các chuyên gia nhiều năm kinh nghiệm, đội ngũ bác sĩ và nhân viên tại Nha Khoa Huy Hoàng luôn tràn đầy tâm huyết trong công việc. Chúng tôi tự tin mang đến dịch vụ bọc răng đẹp, giúp bạn tái tạo nụ cười trắng sáng. Răng sứ mới đảm bảo tỷ lệ đối xứng hoàn hảo, sắc độ và màu sắc phù hợp với từng người, hài hòa với lợi và môi của bạn.

Bảng giá bọc răng sứ

Bảng giá mặt dán sứ vener

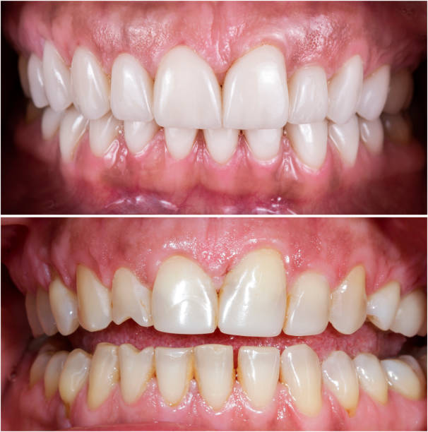
Kết quả sau khi bọc răng sứ tại Nha Khoa Huy Hoàng

Bọc răng sứ toàn hàm cho răng có màu sắc không đạt

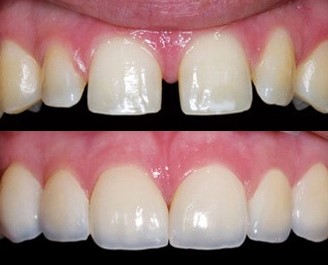
Bọc răng sứ 4 răng cửa do răng có hình dạng không đẹp

Bọc răng sứ 2 răng cửa bị thưa không cần niềng răng

Bọc răng sứ toàn hàm trường hợp răng sai lệch, màu sắc hình dáng không đẹp