Cạo vôi răng là gì?

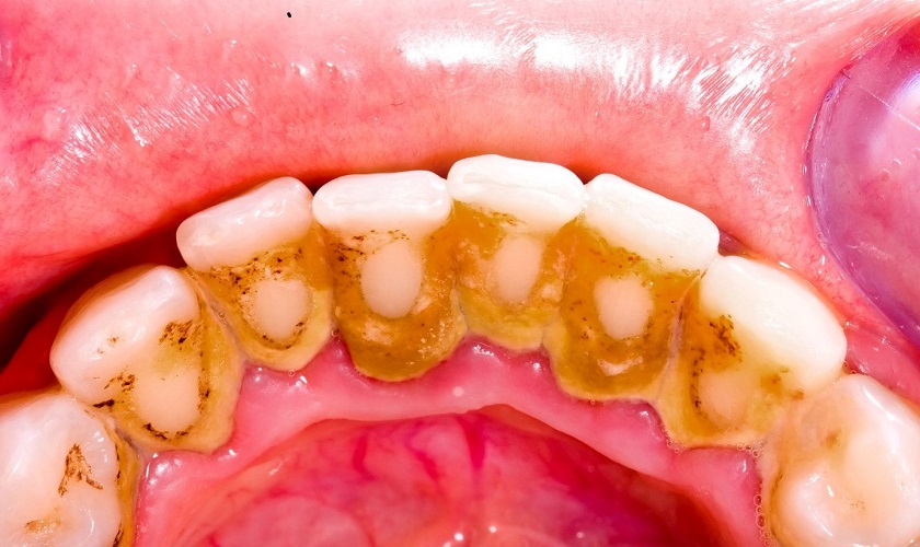
Cạo vôi răng (hay còn gọi là lấy cao răng) là kỹ thuật nha khoa sử dụng máy siêu âm chuyên dụng để loại bỏ các mảng vôi bám cứng trên răng và dưới nướu. Khác với vệ sinh thông thường, vôi răng là cặn khoáng cứng hình thành từ mảng bám và vi khuẩn, không thể làm sạch bằng bàn chải.

Hình ảnh vôi răng

Vì sao cần lấy cao răng định kỳ ?

Hình ảnh lấy cao răng

Zirconia có khả năng chịu lực gấp nhiều lần so với răng thật, giúp bạn ăn nhai thoải mái mà không lo răng bị vỡ hay sứt mẻ. Đây là một trong những vật liệu bền nhất được sử dụng trong nha khoa hiện nay.

Độ cứng của răng sứ Zirconia so với răng thật

Răng sứ Zirconia có màu sắc trắng sáng, tự nhiên, không bị đục hay tối màu theo thời gian. Ngoài ra, vật liệu này cũng không gây kích ứng nướu, đảm bảo an toàn cho người sử dụng.

Độ cứng của răng sứ Zirconia so với răng thật

Zirconia có khả năng chịu lực gấp nhiều lần so với răng thật, giúp bạn ăn nhai thoải mái mà không lo răng bị vỡ hay sứt mẻ. Đây là một trong những vật liệu bền nhất được sử dụng trong nha khoa hiện nay.

Độ cứng của răng sứ Zirconia so với răng thật

Cạo vôi răng (hay còn gọi là lấy cao răng) là kỹ thuật nha khoa sử dụng máy siêu âm chuyên dụng để loại bỏ các mảng vôi bám cứng trên răng và dưới nướu.
Khác với vệ sinh thông thường, vôi răng là cặn khoáng cứng hình thành từ mảng bám và vi khuẩn, không thể làm sạch bằng bàn chải.

Độ cứng của răng sứ Zirconia so với răng thật

Quy trình cạo vôi răng tại Nha Khoa Huy Hoàng

Quy trình cạo vôi răng theo tiêu chuẩn quốc tế, đảm bảo hiệu quả tối ưu về thẩm mỹ và khớp cắn với các bước sau:

 

Bước 1: Thăm khám và tư vấn

 

Bước 2: Cạo vôi bằng máy siêu âm hiện đại

 

Bước 3: Đánh bóng bề mặt răng

 

Bớc 4: Hướng dẫn chăm sóc răng miệng

Bước 1: Thăm khám và tư vấn

Bác sĩ kiểm tra tình trạng vôi răng, nướu và lên kế hoạch cạo vôi phù hợp.

Thăm khám và tư vấn

Bước 2: Cạo vôi bằng máy siêu âm hiện đại

Sử dụng đầu sóng siêu âm nhập khẩu châu Âu, giúp loại bỏ mảng bám cứng nhanh chóng mà không gây đau hay chảy máu.

Cạo vôi bằng máy siêu âm hiện đại

Bước 3: Đánh bóng bề mặt răng

Bác sĩ dùng bột đánh bóng chuyên dụng để loại bỏ vết ố và giúp răng trắng sáng tự nhiên.

Đánh bóng bề mặt răng

Bước 4: Hướng dẫn chăm sóc răng miệng

Khách hàng được hướng dẫn cách chải răng, dùng chỉ nha khoa và nước súc miệng đúng cách để giữ răng sạch lâu hơn.

Hướng dẫn chăm sóc răng miệng

Ưu điểm khi cạo vôi răng tại Nha Khoa Huy Hoàng

Tại Nha Khoa Huy Hoàng, chúng tôi áp dụng công nghệ lấy cao răng bằng sóng siêu âm, mang lại trải nghiệm nhẹ nhàng và hiệu quả cao hơn nhiều so với phương pháp truyền thống. Không đau – không ê buốt đầu máy siêu âm rung với tần số cao, phá vỡ cao răng mà không tác động mạnh lên mô nướu. Sạch sâu – nhanh chóng chỉ mất khoảng 15–20 phút, phù hợp cả với người bận rộn. An toàn tuyệt đối phòng khám vô trùng chuẩn Bộ Y Tế, dụng cụ được khử khuẩn nghiêm ngặt cho mỗi khách hàng. Hiệu quả ngay trong 1 lần sau khi làm sạch, răng trở nên sáng, nướu khỏe, hơi thở dễ chịu hơn rõ rệt. Hỗ trợ điều trị viêm nướu – nha chu lấy cao răng siêu âm giúp giảm viêm và ngăn tình trạng nha chu tiến triển xấu.

Bảng giá cạo vôi răng

Phản hồi khách hàng tại Nha Khoa Huy Hoàng

Cạo vôi xong cảm giác nhẹ miệng, răng sáng hơn rõ rệt. Bác sĩ làm nhẹ tay, không đau chút nào.”
Chị Trang,

Nha Khoa Huy Hoàng – nơi bạn được chăm sóc tận tâm và làm sạch an toàn, nhẹ nhàng.

Nha Khoa Huy Hoàng – nơi bạn được chăm sóc tận tâm và làm sạch an toàn, nhẹ nhàng.

Trước mình sợ lấy vôi, nhưng ở Huy Hoàng bác sĩ dùng máy siêu âm rất êm, sạch và nhanh.”
Anh Minh,